中國醫藥大學兒童醫院兒童心臟科戴以信醫師表示, 小涵平時清晨睡夢中會突然大叫且全身僵直痙攣,每次約1、2分鐘即甦醒,已長達2年;今年初某天早晨又再次發作,媽媽原以為會像平常一樣自行恢復甦醒,但這次抽搐時間過長,媽媽覺得不對勁,立刻打119求救。

熱門新聞:台中男看診求愛遭拒竟恐嚇「砍護理師」 霧峰警醫院監控究辦

小涵到院急救過程中,開始出現「連續」多型性心室頻脈(電氣風暴),每次電擊後不到5分鐘又再次發作,短短40分鐘內給予7次電擊,因給予藥物無法改善,戴以信醫師緊急安裝葉克膜,並放置右心室導線進行過速激發(以更快速的節律來終止心室頻脈),又經15次電擊,小涵的狀況才穩定下來。

戴以信發現小涵的心電圖QT波段明顯延長,且了解到家族有人早年猝死,因此懷疑為遺傳性心律不整。經基因檢測,診斷為「KCNH2基因相關的長QT症候群所誘發多型性心室頻脈」。

戴以信醫師表示,長QT症候群是罕見心律不整疾病,可能造成的基因突變約有15種,最常見的前3種為:KCNQ1_運動時發作、KCNH2_起床鬧鐘刺激發作、SCN5A_睡眠中發作。長QT症候群起因於心臟肌肉細胞表面膜電位離子通道異常,造成「早期後去極化」效應,進而產生誘發多型性心室頻脈,多半會以不明原因而導致暈厥,也可能會抽筋。

醫師研判小涵清晨的大叫、抽搐就是起床鬧鐘刺激發作,建議她服用「乙型交感阻斷劑」來降低交感神經活性,同時把手機與鬧鈴調整為震動,以降低誘發抽搐發作的因子,還替小涵安裝體內去顫器,確保突發心室頻脈時,可立即電擊搶救。在藥物及定期追蹤治療下,目前小涵已不再發作,健康地回歸校園生活。

中醫大兒醫兒童心臟病及超音波中心謝凱生副院長提醒,像小涵的案例,其實是很幸運的,加上媽媽及時察覺,後續醫療緊急救護人員處理得當,不然很可能會有喪失寶貴生命或導致永久性腦傷的風險。所以,當遇到孩童不明原因「暈厥」或「抽搐」,應盡速至醫療院所兒童心臟科就醫,檢查是否有尚未發現的心律不整,並接受適當的治療。

小涵入院後多次發作多型性心室頻脈,經安裝葉克膜及前後共22次電擊,才穩定狀況。中醫大附醫提供
小涵入院後多次發作多型性心室頻脈,經安裝葉克膜及前後共22次電擊,才穩定狀況。中醫大附醫提供
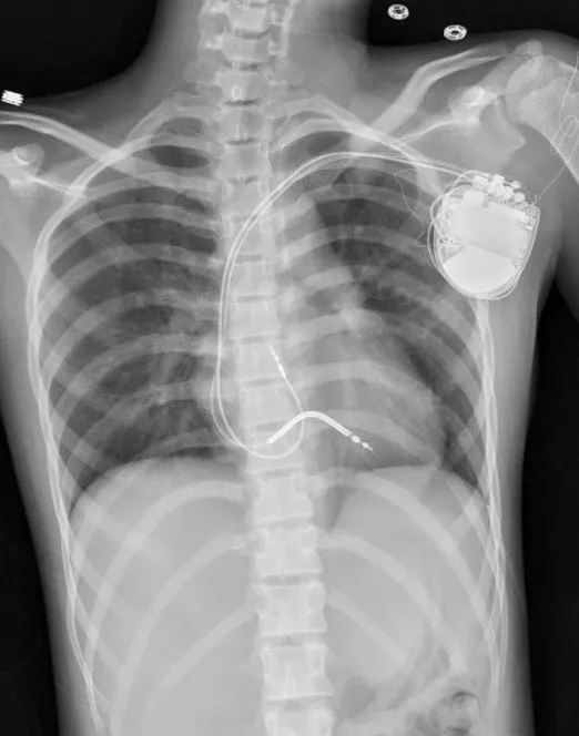
中醫大兒醫醫療團隊替小涵安裝體內去顫器,確保突發心室頻脈時,可立即電擊搶救。中醫大附醫提供
中醫大兒醫醫療團隊替小涵安裝體內去顫器,確保突發心室頻脈時,可立即電擊搶救。中醫大附醫提供
作者簡介

鮮明

曾先後任職3家平面媒體,跑過許多大大小小的社會新聞,擅長處理讀者投訴、爆料案件,挖掘網路熱門議題,樂於踢爆社會的不公不義。


點擊閱讀下一則新聞 點擊閱讀下一則新聞
「台灣梅西」袁永誠親向侯友宜請命! 陳乃瑜籲打造行銷國際的足球環境