亞洲大學附屬醫院胃腸肝膽科主治醫師江承源指出,這位患者自述平時沒有菸酒習慣,且早晚作息正常,幾乎很少掛病號,沒想到第一次安排腸胃鏡健檢,就查出食道腺癌,讓他十分震驚,所幸經安排腹部斷層掃描、正子攝影檢查後,確認癌細胞沒有擴散,因此透過手術切除後,目前正持續回診追蹤。

江承源說,民眾可能有聽過「胃食道逆流」,但卻忽略長期胃食道逆流會導致食道的黏膜鱗狀上皮細胞轉變成柱狀上皮細胞,演變成「巴瑞特氏食道」,而食道腺癌有50%發生率是由巴瑞特氏食道演變而來,簡單而言,巴瑞特氏食道就是癌前病變的跡象,若沒有立即治療,未來癌化的風險將會大幅提高。

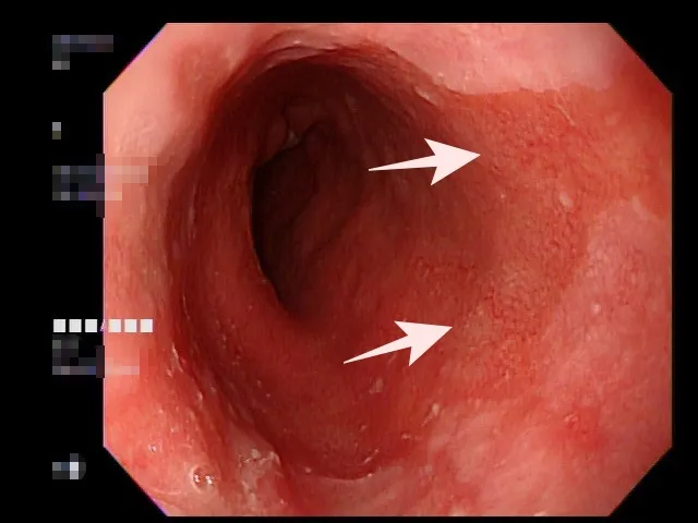
白色箭頭處即為巴瑞特氏食道黏膜。院方提供
白色箭頭處即為巴瑞特氏食道黏膜。院方提供

據衛福部統計,食道癌是男性癌症死亡的第6位,但早期食道癌因為沒有症狀,往往難以察覺,而晚期食道癌治癒率不佳、5年存活率僅有10%,因此死亡率高居不下,許多民眾都是透過腸胃鏡檢查或自費健檢,才發現原來本身因長期胃食道逆流,已經埋下日後癌前病變的前兆。

江承源指出,如同蔡姓患者,巴瑞特氏食道患者幾乎沒有明顯症狀,但多半會有火燒心、吞嚥困難、胸悶胸痛或者喉嚨異物感等前兆,最佳檢查方式就是利用上消化道內視鏡檢查,可以由鮭魚肉色般的食道黏膜判定是否患病,必要時可以黏膜切除、黏膜剝離以及內視鏡射頻消融術治療,一旦出現惡性癌變,則會建議採用手術切除為宜。

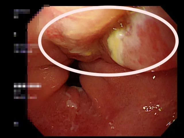
醫師提醒民眾要保持良好飲食習慣,若有不適症狀,應儘速尋求專業醫師治療。院方提供
醫師提醒民眾要保持良好飲食習慣,若有不適症狀,應儘速尋求專業醫師治療。院方提供

江承源提醒,國人患有胃食道逆流的比例偏高,因此若有前述症狀,加上屬於肥胖、年紀偏高、愛大吃大喝、有抽菸喝酒習慣的男性族群,務必養成正確飲食習慣,同時避免飯後立即躺下、穿著緊身衣物,才能真正降低癌變的風險。

作者簡介

鮮明

曾先後任職3家平面媒體,跑過許多大大小小的社會新聞,擅長處理讀者投訴、爆料案件,挖掘網路熱門議題,樂於踢爆社會的不公不義。


點擊閱讀下一則新聞 點擊閱讀下一則新聞
台鐵塗鴉客抓到了!警調200監視器鎖定2人 1嫌今入境遭逮另1人逃國外