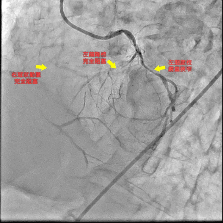
中港澄清醫院心臟心管內科醫師孫德光表示,這名患者發病前出現上腹陣痛、噁心想吐,以為是急性胃炎,服用胃藥但毫無緩解,卻在工作中因呼吸困難全身無力而被送進急診,檢查發現他心臟3條冠狀動脈血管有2條呈現完全阻塞,一條嚴重狹窄,且左主幹也呈現重度狹窄,其心臟功能射血指數僅22%(正常為50%以上),顯示已出現嚴重心臟衰竭,隨時危及生命,立即給予呼吸器支持。
醫療團隊原本打算為患者進行心導管支架置放手術,但在場的家屬擔心手術費用,頻頻詢問:「要花多少錢?我們是甘苦人,可不可以就打針吃藥治療就好嗎?」
熱門新聞:開性愛趴見2少女斷氣心慌 男逃亡還想「最後一砲」竟再約21歲女開房
醫療團隊考量患者經濟負擔、短中長期之治療效果以及預後考量,最後決定不做心導管支架置放手術,緊急會診心臟外科為病患進行心臟血管繞道手術,這樣對患者的經濟負擔最輕,將治療的長期效益最大化,該患者於手術住院10天後順利出院。
孫德光說,近3成的心肌梗塞患者,是以非典型心絞痛的症狀表現,特別是在年長者,常常被以為是急性胃炎、感冒、氣喘、肌肉發炎等誤導,甚至延誤送醫時機而喪失生命;其中,抽菸、缺乏運動、肥胖、高血糖、高血壓、高血脂的三高慢性病民眾,特別是心肌梗塞的高危險群,做工辛苦人生活及收入不穩定,因缺乏定期健康檢查,發現時往往已很嚴重。
孫德光說,病人都有不同的故事與背景,或許有人因負擔不起高額的醫療費用而陷入絕境,他認為醫療作為雖然救人優先,也需為病人考量社會及經濟因素整合,由醫療團隊做最恰當的醫療決策以拯救性命,減輕病人的生活負擔。

爆料信箱:news@nextapple.com
★加入《壹蘋》Line,和我們做好友!
★下載《壹蘋新聞網》APP
★Facebook 按讚追蹤
點擊閱讀下一則新聞