73歲林阿嬤老伴過世六年,在北部工作的兒女假日輪流回來陪伴,由於不捨南北奔波的孩子屢勸她從年輕就容易拉肚子的情況要去做大腸癌篩檢,就來到高雄阮綜合醫院。大腸鏡檢查無異常,但血液癌症指數有4.3(標準3),胸腔外科戴碩瑩醫師醫師安排X光及電腦斷層檢查,結果X光無異常,斷層發現右上肺葉有一顆0.4公分的微浸潤腺癌,與右中肺葉一顆1.2公分的肺腺癌,考慮阿嬤年紀,兩周後由戴醫師以「單孔胸腔鏡」微創手術切除治療,術後血液癌症指數降為1.3,後續追蹤。

熱門新聞:壹蘋10點強打|小蝦米告贏繼光香香雞 勇抗大鯨魚!遭違法解雇又等嘸資遣費

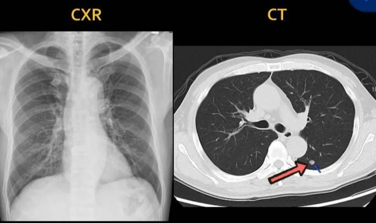
張先生X光片正常,斷層片有一顆肺結節。阮綜合提供
張先生X光片正常,斷層片有一顆肺結節。阮綜合提供

戴碩瑩醫師說,胸腔外科在治療肺結節、肺癌方面以手術切除為主,上述兩位患者都是使用「單孔胸腔鏡」微創手術,技術上是從單一肋間約五公分傷口切除病灶,出血少,疤痕小,疼痛感輕微,住院天數短,能及早回復日常生活。目前健保有給付胸腔鏡微創手術,部分耗材需自費約幾萬元不等。

林阿嬤X光片無異常,斷層片顯現右中肺葉一顆1.2cm肺腺癌,右上肺葉一顆0.4cm微浸潤腺癌。阮綜合提供
林阿嬤X光片無異常,斷層片顯現右中肺葉一顆1.2cm肺腺癌,右上肺葉一顆0.4cm微浸潤腺癌。阮綜合提供

戴醫師強調, 我國十大死因首位為惡性腫瘤(癌症),而肺癌為十大癌症死亡人數的第一名。據國民健康訪問調查指出:四成民眾自認身體很好不想做健檢!其實,肺腫瘤早期症狀通常不明顯,往往是做其他治療檢查時意外發現的!

腫瘤大到1分以上才會被X光偵測到,低劑量電腦斷層可以偵測3~4mm大小的肺結節,在斷層偵測到的越小,越屬於早期範圍,治療上簡單安全又可能根治。反過來,X光檢查偵測不到1公分以下的腫瘤,若病灶位置在不易判讀的死角,會造成診斷治療延遲,延遲3至5年後,原本1公分可能長到7公分以上,甚至是第四期肋膜轉移或遠端轉移,晚期惡化的腫瘤,通常難以回天。

肺癌高風險族群篩檢有補助。阮綜合提供
肺癌高風險族群篩檢有補助。阮綜合提供

戴碩瑩說,肺癌的成因一是遺傳及基因因素,一是致癌物刺激,例如:吸菸、二手菸、毒化物、空汙、油煙、金屬化合物等。在環境污染嚴重下,除了積極戒菸,沒有其他方法能預防肺部惡性腫瘤的發生。而且,肺癌初始症狀不明顯,胸部X光檢驗不易偵測早期肺癌,需藉助低劑量電腦斷層才能早期診斷及追蹤,研究也指出低劑量電腦斷層篩檢,確能有效降低肺癌死亡率。建議45歲以上民眾,屬於高風險族群者盡早作篩檢。現在第一期肺癌經過治療已有九成五年存活率,對於較晚期肺癌,若及早發現治療,也能提高治癒率及存活率。

作者簡介

凃建豐

喜歡聽故事,聽說了,就想分享給更多人,讓大家有一起前進的勇氣。一直待在平面媒體,見證紙媒興衰,直到進入網路時代,發現日新月異的豈止是新聞,連媒體本身也是。


點擊閱讀下一則新聞 點擊閱讀下一則新聞
房屋違建遭開罰赴市府陳情 母湯啦!新北老翁掏雙刀嗆「我死給你看」