中國醫藥大學兒童醫院「結構與先天性心臟病及超音波中心」副院長謝凱生教授表示,國內腦膿瘍好發年齡多為60歲以上男性,腦膿瘍導致的後遺症包括反覆阻塞性水腦、神經功能喪失、癲癇發作,嚴重者甚至死亡,民眾萬不可輕忽,不過才20多歲的阿成卻出現腦膿瘍,非常罕見,臨床上多半是跟先天結構心臟病有關。

熱門新聞:新竹市再現「大秘寶」!國際賽場挖出馬桶蓋 網酸「新石器遺址」

 

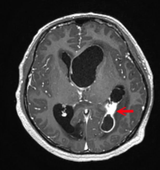
MRI顯影個案阿成的左腦腦膿瘍位置(白色範圍),水腦會造成對側運動功能受損,由於左腦主管語言,口說理解能力亦會受影響。中國附醫提供
MRI顯影個案阿成的左腦腦膿瘍位置(白色範圍),水腦會造成對側運動功能受損,由於左腦主管語言,口說理解能力亦會受影響。中國附醫提供

中國醫大附醫專家團隊評估阿成腦內無故長膿,疑與先天性心臟疾病相關,經照會中國附醫兒童醫院兒童心臟科醫師戴以信後續診斷,以「氣泡測試超音波檢查(Bubble test, Agitated Saline Echocardiography)」以及心導管檢查阿成的心臟,發現「心房中隔缺損(Atrial Septal Defect)合併右到左分流」導致他長期慢性缺氧,因右心房的缺氧血逆流進左心房,細菌進而大舉侵入腦部,造成嚴重感染膿瘍再併發水腦,幸好阿成被即時搶救,兒童醫院心臟團隊接續使用「經心導管心房中隔關閉手術」,關閉阿成心臟的先天破洞,防止腦部膿瘍再次發生,術後恢復良好,阿成目前持續復健中。

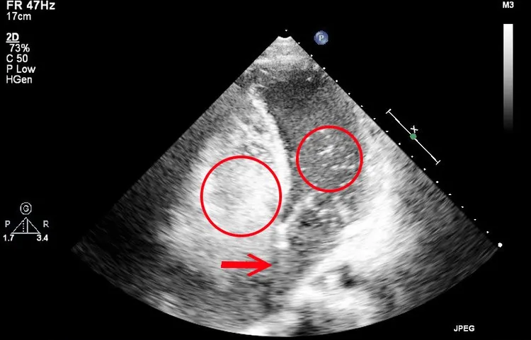
患者氣泡測試超音波顯示,氣泡從阿成右心房中膈缺損(破洞1.5公分)衝到左心房。中國附醫提供
患者氣泡測試超音波顯示,氣泡從阿成右心房中膈缺損(破洞1.5公分)衝到左心房。中國附醫提供

戴以信指出,台灣每1000名新生兒就有約3~4人罹患「心房中隔缺損」,但絕大部分是合併「左到右分流」,所以不會發生腦膿瘍,以成人來說,缺損破洞直徑小於2公分者通常不會有明顯症狀,若是缺損破洞直徑大於2公分,則因為肺部血流過多,病人可能會發生呼吸急促、費力、反覆呼吸道感染的情況。

病人阿成因長期缺氧造成杵狀指,呈現手指末端腫脹,指甲從根部到末端呈拱形隆起,讓甲床與指節角度變大,甚至大於180度(圖左)。中國附醫提供
病人阿成因長期缺氧造成杵狀指,呈現手指末端腫脹,指甲從根部到末端呈拱形隆起,讓甲床與指節角度變大,甚至大於180度(圖左)。中國附醫提供

戴以信強調,當心導管檢查肺部血流與系統血流比例大於1.5倍時,就應該考慮以微創心導管手術關閉,然而,像阿成這樣的例外個案,合併其他心臟結構異常導致「右到左分流」—即身體任何部位產生的化膿性感染,皆不需經過靜脈肺臟系統,直接從心房中隔缺損的「破洞」進到動脈系統而轉入腦部,造成細菌感染化膿,這類緊急情況則建議無論破洞多小,都應該進行手術趕快關閉心房中隔缺損,才能預防再次腦部膿瘍,此項治療恢復期短且健保給付。

謝凱生強調18歲以上的成人病人,如果不是嚴重頭部外傷而造成腦部感染,不論過去有沒有明顯疾病症狀,發生腦部感染多半是跟先天結構心臟病有關。中國附醫提供
謝凱生強調18歲以上的成人病人,如果不是嚴重頭部外傷而造成腦部感染,不論過去有沒有明顯疾病症狀,發生腦部感染多半是跟先天結構心臟病有關。中國附醫提供

謝凱生表示,18歲以上病患,若非嚴重頭部外傷而造成腦部感染,不論過去有沒有明顯疾病症狀,發生腦部感染多半是跟先天結構心臟病有關,一旦出現「杵狀指」手指指甲床角度大於180度、紅血球增生症或動脈血氣體分析飽和度不足現象,就是長期缺氧造成,應盡快求診諮詢醫師專業意見。


點擊閱讀下一則新聞 點擊閱讀下一則新聞
納入台鐵了!台中299通勤月票再加碼 盧秀燕自豪仍是全國最低價