收治病例的阮綜合醫院眼科主治醫師張丞賢表示,這名年約60歲大叔,就醫時左眼睜不開、外凸,指情形已有半年,曾到診所就醫,查不出病因,因不痛、不癢,就擱著不理,直到左眼完全睜不開,被轉介到該院就醫。

相關新聞:眼球外凸無法閉合 恐罹患眼窩淋巴癌

張丞賢表示,經以外力翻開大叔左眼皮,發現大叔左眼球根本轉不動,即使張開,也會有左、右眼無法對焦、複視困擾,隨即安排他做電腦斷層,果真發現一顆腫瘤,就在左眼球後方。

大叔就醫時,因左眼後方長有腫瘤,左眼無法睜開。張丞賢醫師提供
大叔就醫時,因左眼後方長有腫瘤,左眼無法睜開。張丞賢醫師提供
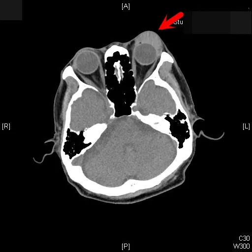
電腦斷層影像中,可看見大叔左眼明顯往外凸。張丞賢醫師提供
電腦斷層影像中,可看見大叔左眼明顯往外凸。張丞賢醫師提供

確定左眼球後方「長東西」,大叔被全身麻醉手術,取出這顆比眼球還大、如乒乓球的腫瘤,病理證實是「眼窩淋巴癌」,由於腫瘤壓迫支配左眼皮、眼球轉動神經,才無法睜開與轉動眼珠,若晚點開刀,腫瘤壓迫視神經,即可能失明。

張丞賢從大叔左眼後方摘除一顆如如乒乓球的腫瘤,病理證實是「眼窩淋巴癌」。張丞賢醫師提供
張丞賢從大叔左眼後方摘除一顆如如乒乓球的腫瘤,病理證實是「眼窩淋巴癌」。張丞賢醫師提供

張丞賢表示,眼窩淋巴癌可能轉移到鼻竇、胸腔等多處部位,是個進展快的癌症,已勸患者術後快進行放療等輔助性療程,殲滅癌細胞,但大叔還在考慮。

這名大叔接受《壹蘋》記者訪問表示,開刀取腫瘤前,他除左眼睜不開、外凸,未有明顯不適,後得知是癌症,也嚇一跳,才剛開完刀的他,想先和仙佛溝通,再看後續是否再治療。

大叔經開刀進行腫瘤摘除手術,術後已略能睜開左眼。張丞賢醫師提供
大叔經開刀進行腫瘤摘除手術,術後已略能睜開左眼。張丞賢醫師提供

張丞賢表示,眼窩淋巴癌若轉移,有可能致死,已再勸大叔再治療;他指,一般人對眼部癌症很陌生,但其實不罕見,他曾一個月內診斷出5名眼窩淋巴癌病例,患者多因出現單眼無法睜開、眼凸、眼球轉不動症狀就醫被確診,提醒民眾若有上述症狀應積極求醫。

張丞賢指,眼窩淋巴癌好發於成年人,患者年齡從20多歲至80歲高齡長者,都可能發生,他先前曾收治一名30多歲警官,因眼白處出現如鮭魚肉色般的紅眼就醫,經切片證實是眼窩淋巴癌,在手術與化療、放療後,目前仍在門診追蹤。

大叔經開刀進行腫瘤摘除手術,術後已略能睜開左眼。張丞賢醫師提供
大叔經開刀進行腫瘤摘除手術,術後已略能睜開左眼。張丞賢醫師提供

★快點加入《壹蘋》Line,和我們做好友!

★下載《壹蘋新聞網》APP

★FB按讚追蹤《壹蘋新聞網》各大臉書粉絲團,即時新聞到你手,不漏任何重要新聞!

壹蘋娛樂粉專

壹蘋新聞網粉專