高醫大腸直腸外科主治醫師林恩楷表示,這名婦人是以急診入院,發燒的她直嚷著肚子痛,安排電腦斷層等檢查,發現她的子宮內有避孕器,子宮內與腹腔充斥著不該有的積液與氣體,已併發腹膜炎。

林恩楷隨即為婦人安排開刀,開刀時看到老婦子宮破了一個洞,研判是遭子宮內的避孕器刺穿,這個避孕器,雖未再刺穿鄰近的腸道,但已致婦人子宮膿瘍、腹膜炎,隨即為她清創膿液,並收治住院。

相關新聞:避孕器藏2致死危機 異位好發這時間點

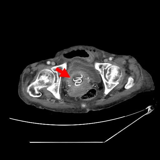
電腦斷層影像中,可看到婦人子宮內的避孕器(箭頭處)。林恩楷醫師提供
電腦斷層影像中,可看到婦人子宮內的避孕器(箭頭處)。林恩楷醫師提供
林恩楷醫師以器械取出老婦體內的避孕器(箭頭處)。林恩楷醫師提供
林恩楷醫師以器械取出老婦體內的避孕器(箭頭處)。林恩楷醫師提供

林恩楷表示,腹膜炎可能再誘發敗血症,此時有可能致死,及時就醫開刀清創與用藥,有助阻止病況惡化,上述老婦經開刀取出避孕器與用藥,感染病況兩周後獲得控制。

不過,林恩楷也說,病人後續恢復OK,卻因為年紀太大,開刀需全身麻醉,之後沒有辦法順利拿掉呼吸器,住院長期間抗生素治療後,併發呼吸器造成的肺炎感染,最後因呼吸衰竭離開。

林恩楷醫師從老婦體內取出刺破子宮的避孕器。林恩楷醫師提供
林恩楷醫師從老婦體內取出刺破子宮的避孕器。林恩楷醫師提供

高醫婦產部主治醫師葛菁如表示,裝置子宮避孕器可干擾受精卵形成和著床,但若已無避孕需求,建議取出,尤其女性更年期後,女性荷爾蒙降低,原如巴掌大子宮,可能漸近縮小到如一顆雞蛋,若子宮內還留有4、5公分大的避孕器,避孕器有可能篏入日漸萎縮的子宮肌肉裡,繼而造成穿孔。

葛菁如表示,避孕器穿出子宮,有可能再刺穿腹腔內的腸道等臟器,腸內糞便跑到腹腔,後續可能誘發如上述老婦的腹膜炎,若未及時治療,還可能併發全身性敗血症致死。

葛菁如表示,避孕器使用年限約5年,仍有避孕需求者,重新換置才能達到持續避孕的功效,至於已屆更年期,無避孕需求者,建議就醫取出。

在子宮內置放避孕器(掌心內物品),可干擾胚胎形成與著床,達到避孕的效果。葛菁如醫師提供
在子宮內置放避孕器(掌心內物品),可干擾胚胎形成與著床,達到避孕的效果。葛菁如醫師提供
高醫大腸直腸外科主治醫師林恩楷。侯昌騰攝
高醫大腸直腸外科主治醫師林恩楷。侯昌騰攝