(作者:長庚兒科急診醫師吳昌騰)

2021年8月,法國研究人員在論文中首次提出「兒童免疫債」概念,認為由於兒童長期的「病原體未暴露或低暴露」,使得易感人群比例越來越高,未來發生流行病的可能性隨之增加。

過去兩年多,世界各國為控制COVID-19疫情,實施了一系列的非藥物干預措施(non-pharmacological interventions , NPIs),包括居家隔離、戴口罩、勤洗手、保持社交隔離、網路視訊上課等方式。

這些措施除了防止及減緩新冠病毒的傳播,也對包括RSV在內的多種呼吸道病毒的傳播產生了顯著影響。

但絕大多數在冬季流行的呼吸道病毒並沒有消失!

「病毒沒有發生改變,改變的是我們!」

應應COVID-19疫情的一系列防護措施,使得兒童的免疫系統錯過了成長過程中的免疫力訓練。

隨著國內COVID-19疫情稍緩,各項防疫措施鬆綁,兒童免疫債問題開始顯現。

這些冬季流行的呼吸道病毒的新一輪反撲勢必將難以避免,尤其集中在兒童和免疫缺陷人群中,只是程度大小問題。

來看看呼吸道融合病毒(RSV)的疾病負擔……

RSV是肺炎病毒屬(Pneumovirus)的成員,因為它與呼吸道感染有關,並能把感染的鄰近細胞融合起來,所以稱為呼吸道融合病毒。

「傳染途徑」

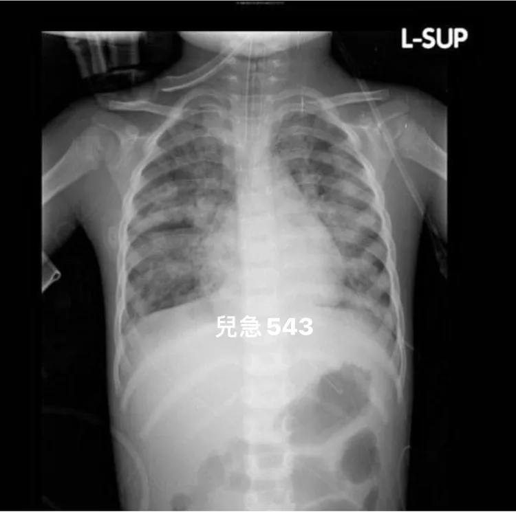
吳昌騰醫師分享幾年前,嚴重RSV感染的胸部X光片。引自吳昌騰臉書
吳昌騰醫師分享幾年前,嚴重RSV感染的胸部X光片。引自吳昌騰臉書

RSV傳染性強,感染RSV的途徑中,包括:

1. 鼻黏膜或眼結膜接觸被病毒污染的分泌物。

2.吸入感染患者含病毒的呼吸道飛沫。

另外接觸傳播中,RSV在皮膚上保持有傳染性的時間為20 分鐘,在衣服和紙巾上能維持20~30分鐘,在物體檯面可長達6 小時。

所以洗手和接觸防護是預防RSV傳播的重要方法。

「疾病嚴重程度」

單就疾病嚴重度來說,RSV對於兒童威脅要比新冠病毒Omicron病毒株更凶險的。

兒童人群普遍容易感染RSV,一旦感染,最容易侵襲影響呼吸系統,常常表現是,發燒、咳嗽、食慾下降、活動力不好,呼吸急促、呼吸困難甚至出現呼吸衰竭或呼吸暫停。

其主要致病機制為呼吸道阻塞、細支氣管平滑肌痙攣及隨後的氣道超敏反應。

氣道超敏反應性與後期出現的反覆喘鳴和哮喘的發生密切相關。

「RSV很狡猾的」

我們人類獲得免疫保護的途徑主要有兩種,一是通過自然感染的被動免疫,其次是疫苗接種。

但RSV具有一個血清型,可分為A、B 兩種亞型,多數情況下,在一個流行季節中,孩子感染一次,但是有些不幸的孩子確實會感染2次。

原因是,孩子感染後雖然能產生抗體,但是因為RSV兩種亞型之間的抗體缺乏交叉保護性,孩子是會感染了不同型的病毒。

還有,就是孩子即使產生了抗體,也不能產生完全的保護作用,也可能再次感染了同型的病毒。

「RSV疫情稍稍有點緩解了嗎?」

說真的,我們在第一線兒科急診,並不會對所有罹患呼吸道疾病的兒童都會進行病原體檢測,因此實際RSV對兒童疾病負擔或許可能比統計報告的要高一些。

另外過去兩三年,由於這些呼吸道病毒流行規律被打亂,兒童可能會面臨免疫負債,而免疫負債仍會不斷累積,未來日子,對兒童來說,呼吸道病毒傳染會不會更頻繁,目前還無法預測,真的需要我們密切觀察注意。

「仍無有效的疫苗」

我們期待理想的RSV疫苗是能預防嚴重RSV疾病並限制RSV傳播,目前是沒有的。

而目前我們針對RSV感染的治療,是以支持性及症狀性治療為主。

最後還是提醒大家,在RSV流行季節,應注意保護兒童,尤其是6個月以下的嬰幼兒及高風險兒童。

【本文章已獲作者授權,未經同意請勿任意轉載】

 

 

★快點加入《壹蘋》Line,和我們做好友!

★FB按讚追蹤《壹蘋新聞網》各大臉書粉絲團,即時新聞到你手,不漏任何重要新聞!

壹蘋娛樂粉專

壹蘋新聞網粉專