今年18歲的大貓熊團團,相當於人類50、60歲的年紀,繼今年8月中出現癲癇等症狀後,上周10/16又開始出現後肢無力、食慾不佳等狀況,後肢步行狀態已不復以往,僅在後場移動並由保育員照料,民眾恐難再見到團團。
對於團團還剩下多少壽命,園方大多持保守態度未多做說明,不過《壹蘋》追問是否還能撐到半年,獸醫室主任賴燕雪、醫師鄭秋虹回應「我們沒有那麼樂觀」,但實際活多久則無人能下定論。
 
                                                        
                                                    再次麻醉對團團風險大 獸醫師:身體差、藥物劑量太重
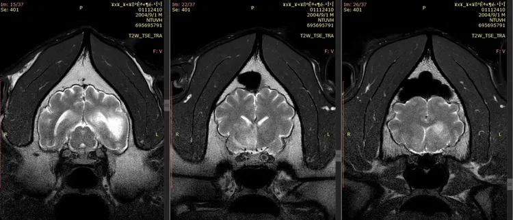
根據動物園公布的第2次MRI(磁振造影)影響,發現團團腦部病變病灶區域明顯擴大,且還出現腫塊效應,園方指出惡性腫瘤機率大幅提高,但因未能以侵入性切片檢查無法百分之百確認。
團團進行第二次MRI檢查時,對麻醉反應、甦醒恢復時間皆延長。鄭秋虹還原就醫狀況,指團團第一次檢查時麻醉完10幾分鐘就醒來,第二次雖有醒來但回去仍昏昏沉沉,並說「團團真的不能再經一次風險」。
賴燕雪補充,通常動物進行治療時,醫生也會監看各種數值,但團團這次麻醉後心跳、呼吸次數明顯變慢,也代表身體狀況不好、無法正常代謝藥物,顯現藥物劑量對牠來說已經太重了。
 
                                                        
                                                    動物園投藥減緩團團腦部壓迫
現在園方決定讓團團進行「舒緩治療」,這也相當於人類的安寧治療,持續給予藥物以舒緩症狀,並施打輸液補充水分,讓牠不那麼痛苦。
賴燕雪進一步說,團團的腦部MRI影像顯示有水腫,現除給予抗癲癇藥物,也有消水腫的藥物,當腦部腫塊壓迫不那麼明顯時正常功能也會回歸,「這時團團讓不舒服的臨床症狀就會較少。」
貓熊開腦「史無前例」 確認是腫瘤恐也難治
鄭秋虹提到,團團腦部的病灶位置其實相當深,若今決定切片採樣看是否為惡性腫瘤,一動作就可能傷到其他正常腦組織,「可能就會這樣沒了。」
賴燕雪也說,就算其他物種有一樣病況,也不適合讓團團直接採取相同治療方案,直言「現在就是沒有具體治療方式」,只能對症下藥,無法對於病程進行治療。
賴燕雪也說,即使冒了風險確認團團腦部長了惡性腫瘤,投予藥物也不知是否能復原,更可能帶來惡性嘔吐等副作用,甚至出現感染的可能,最終才選擇了舒緩治療,讓團團舒服些。
 
                                                        
                                                    而動物園在與各專家討論時,雖有人醫以人類治療方式建議可開腦,但在了解動物開腦的風險後也認為不可行,「貓熊開腦在大陸也是史無前例。」
至於動物園與陸方溝通交流結果到底為何?賴燕雪也說,其實園方都有告知最新病況,但至今陸方也未曾明確告知可以如何做,僅有一些建議參考,但認同採舒緩治療方式。
 
                                                        
                                                    舒緩治療最大目標:讓動物不痛、展現自然行為
動物組組長王怡敏也說,未來針對團團的舒緩治療,也會如同其他動物以「減輕痛苦」為原則,最大目標就是讓牠不會有痛感、展現自然行為;園方考量侵入性治療非更好的選擇,故不會積極過度治療,否則動物生活品質會很差。
現在團團進食量已不如以往,動物園在牠的日常飼糧中也添加蛋白質、維生素E、B群、補體素及膳食纖維等營養補給品,保育員也會增加餵水的次數。
大貓熊館館長陳玉燕分享,現團團活動量減少,訓練上以醫療檢查作為主要項目,目前抽血、量血壓皆能順利進行;飲食部分除額外的營養補給,也提供更多當季的竹筍、竹桿,補足竹葉攝食量少所缺失的纖維,以維持腸道正常。
 
                                                        
                                                    ★快點加入《壹蘋》Line,和我們做好友!
★FB按讚追蹤《壹蘋新聞網》各大臉書粉絲團,即時新聞到你手,不漏任何重要新聞!
 點擊閱讀下一則新聞
                                        點擊閱讀下一則新聞
                                        
 
                                 
                                            
                                            
                                         
                                     
                                     
                                     
                                     
                                    



