台北市立動物園的人氣明星大貓熊團團,自8月中下旬出現癲癇等症狀後,10月中又開始出現後肢無力、食慾不佳等狀況,現精神、食量、活動力等都不如以往。
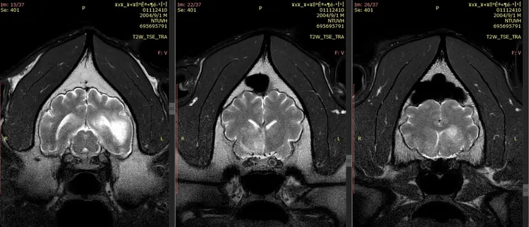
團團在上周六(10/22)已進行第2次MRI(磁振造影)檢查,今園方也公布結果,坦言團團「病程進展快速」,腦部惡性腫瘤的機率也大幅提高,不過未能進行侵入性切片檢查,故無法百分之百確認。
 
                                                        
                                                    動物園:不再對團團進行麻醉或侵入性檢查
動物園表示,團團第2次MRI影像顯示腦部病變除既有的病灶外,區域明顯擴大且出現腫塊效應,團團這次檢查對麻醉反應、甦醒恢復時間也都延長,考量近期種種臨床表現,園方也宣布「不再對團團進行麻醉或侵入性檢查」,將以維護動物福祉為優先,採舒緩照護方式照顧。
 
                                                        
                                                    動物園也說,獸醫師現每天給予團團藥物舒緩症狀,並施打輸液補充水分;保育員除從日常飼糧中添加蛋白質、維生素E、B群、補體素及膳食纖維等營養補給品、增加餵水的次數外,也會特別幫團團多留一點愛吃的食物,盼增加進食量、維持足夠體力。
此外,動物園表示近期動物福利倫理委員會及醫療照養團隊,也根據團團的現況進行生活品質評估,包含行動能力、自理能力、進食與體態、感知行為、外觀及整體狀況等6項指標,目前顯示生活品質為尚可。
 點擊閱讀下一則新聞
                                        點擊閱讀下一則新聞
                                        謝謝「玉葉」相伴26年 北市動物園僅存單峰駱駝去世
                                    
 
                                 
                                            
                                            
                                         
                                     
                                     
                                     
                                     
                                    



