科學新聞報導,澳洲一名女子因為數週的腹痛、腹瀉和乾咳就醫。醫生發現她的肺部、肝臟和脾臟都有病變,推測是感染。但細菌、真菌、人類寄生蟲甚至自身免疫性疾病的檢測結果均呈陰性。
 
                                                        
                                                    三週後,該女子出現發燒和咳嗽,CT 掃描發現她的肺部病變似乎正在轉移。幾個月後,當這位女子變得健忘且憂鬱,澳洲國立大學和坎培拉醫院醫生塞納納亞克(Sanjaya Senanayake) 表示,一位非常精明的醫生認為有些不對勁,「最好對大腦進行核磁共振檢查」。
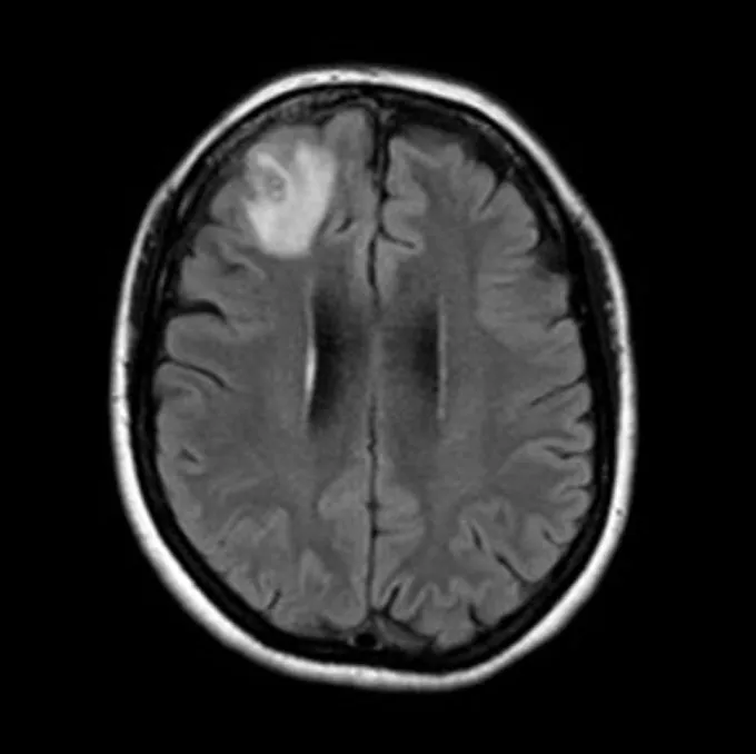
腦部掃描顯示,她的額葉發出幽靈般的光芒。醫生認為這可能是癌症、膿腫或其他疾病,「沒有人認為它會是一隻蟲。」
醫生決定對大腦進行活組織檢查時,發現了一個可疑的繩狀結構,並用鑷子將其拔出,「它是粉紅色的,大約有鉛筆一半長,而且還活著。」
醫生塞納納亞和同事在9月份的《新發傳染病》中發表報告說,這種蠕蟲名為 Ophidascaris robertsi,是一種線蟲,其主要宿主是蟒蛇,而這名居住在新南威爾士州的婦女,是第一例有記錄的人類感染病例。
醫生在這名婦女的大腦中發現的寄生蟲,通常在蛇和小型哺乳動物之間穿梭。成蟲生活在地毯蟒(Morelia spilota)體內,它們的糞便中會排出蟲卵。老鼠或負鼠可以吞下這些卵,這些卵會長成幼蟲,鑽入肉中。蛇吃掉受感染的動物,如此循環下去。
醫生懷疑女子不小心吃了一些可食用植物中偽裝的蟲卵,該名女子住在一個棲息著地毯蟒的湖附近,平時常收集野菜來做沙拉或炒菜。
 點擊閱讀下一則新聞
                                        點擊閱讀下一則新聞
                                        習近平竟與190cm川普齊高?對比圖眾人看傻
                                    
 
                                 
                                            
                                            
                                         
                                     
                                     
                                     
                                     
                                    



