阮綜合心臟內科醫師郭必芳說,有名無三高慢性病史的58歲女患者,國中開始出現心悸,隨著年紀增長情況越嚴重,脈搏來到140~170下!因發生突然但消失得也快,就不以為意也未就醫或服藥。

去年元旦和親友打麻將,一個槓上開花胡牌三家通賠,她在幾聲大笑後發作,心悸了半小時並伴隨頭暈胸悶,才在牌友催促下掛急診。雖然血壓正常,但脈搏已經180下!所幸在藥物治療下康復,但仍有接受心導管電燒手術預防這顆不定時炸彈的必要。

醫師說,有心悸問題但無三高等慢性疾病者,也可能因為焦慮、憂鬱、興奮等壓力情緒,或菸酒咖啡的影響下發作,民眾慶祝新年期間,生活習慣別太失序放縱了。

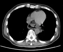
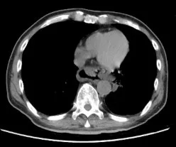
63歲男CT顯示遠端食道裂傷。阮綜合提供
63歲男CT顯示遠端食道裂傷。阮綜合提供

阮綜合胸腔外科醫師林鴻生過年期間也曾支援急診,一位有中度三高狀況的63歲男性,與友人聚餐後接著續攤喝咖啡醒酒,回家後因嘔吐、腹痛腹脹、喉嚨和胸口疼痛送急診,診斷是自發性食道破裂,經手術與抗生素治療一個月才康復出院。

林鴻生醫師說,暴食飲酒後喝咖啡,容易在腹脹、嘔吐的瞬間造成食道損傷出血,此時仍積聚胸腔內的食物、胃液可能引起發炎造成敗血症。民眾歡慶年節的同時,宜節制飲食及酒量,想藉咖啡醒酒只會更刺激、增加心血管負擔,傷害更大。

鄭傑陽醫師說,「大拚掃」以前可以做「踏階運動」以提升骨力與平衡感。阮綜合提供
鄭傑陽醫師說,「大拚掃」以前可以做「踏階運動」以提升骨力與平衡感。阮綜合提供

脊椎微創中心主任鄭傑陽醫師表示,年節前大掃除腰酸背痛就醫的病例每年都有,也有狀況嚴重到腰椎骨折的,一位50歲職業婦朱女士,過年前利用假日大掃除時不慎自樓梯掉落,屁股著地後造成「腰椎第一節壓迫性骨折」,嚴重背痛難以活動,所幸接受「微創皮球囊椎體整形修復」術後,當天即出院和家人共度新年佳節。

鄭傑陽表示,一次性大量長時間的勞動前最好先暖身,「大拚掃」以前可以做「骨力訓練」以提升骨力與平衡感,「跳躍運動」則可以促進全身血液循環與解除肌肉僵。

郭必芳醫師提醒,春意寒峭,保暖首重適時增減衣物。阮綜合提供
郭必芳醫師提醒,春意寒峭,保暖首重適時增減衣物。阮綜合提供

踏階運動(骨力訓練): 1,一腳踏上階梯;2,階梯上的腳大腿用力將身體往上帶,踏上另一腳;3,一腳一腳交替上下。

跳躍運動:1,雙膝微蹲 想像屁股向後坐;2,盡力向上跳;3,落地保持膝蓋有彈性。

郭必芳醫師提醒,春意寒峭,保暖首重適時增減衣物,年節期間宜保持規律的生活習慣,避免過勞耗神與情緒波動,有慢性病的民眾仍須按時服藥。大家用平常心準備迎接新年、開運納福!

作者簡介

凃建豐

喜歡聽故事,聽說了,就想分享給更多人,讓大家有一起前進的勇氣。一直待在平面媒體,見證紙媒興衰,直到進入網路時代,發現日新月異的豈止是新聞,連媒體本身也是。


點擊閱讀下一則新聞 點擊閱讀下一則新聞
戒菸防癌又降心血管疾病風險 全台2803機構幫助你