劉先生今年初在北部接受頸椎手術後病況仍無改善,日前經友人推薦至台中市立老人復健綜合醫院進行治療,由腦血管中心李漢忠副院長進行完整評估,發現真正病因是第五至七節頸椎椎間盤突出壓迫脊髓,且合併右手腕隧道症候群,非先前手術的頸椎節段,於此終於找出困擾他一年之久的症狀根源。

李漢忠根據脊椎中心跨團隊精準檢查結果,建議患者進行「第五至第七節頸椎椎間盤切除併人工椎間盤置換」,並同步施作「右手正中神經減壓」。手術歷時約兩小時,出血僅 50c.c,搭配高規格顯微鏡、導航影像系統及超高速電鑽,大幅降低手術風險,加速恢復,不需佩戴頸圈。

術後當天,患者的雙手麻痛立即改善,右手能完全抬高;隔日即可自行行走。歷經一年失眠與痛苦後,恢復速度讓他感動地說:「終於能睡個好覺了!非常感謝李醫師和整個團隊,幫我找回手腳的功能!」

李漢忠副院長提醒,日常生活中,維持正確姿勢、避免久坐、搬重物與保持適當體重,都是預防脊椎退化與神經壓迫的好習慣;若已出現手麻、痠痛、無力或走路不穩等嚴重疼痛影響生活品質,更應盡早就醫,以免造成神經的永久傷害。

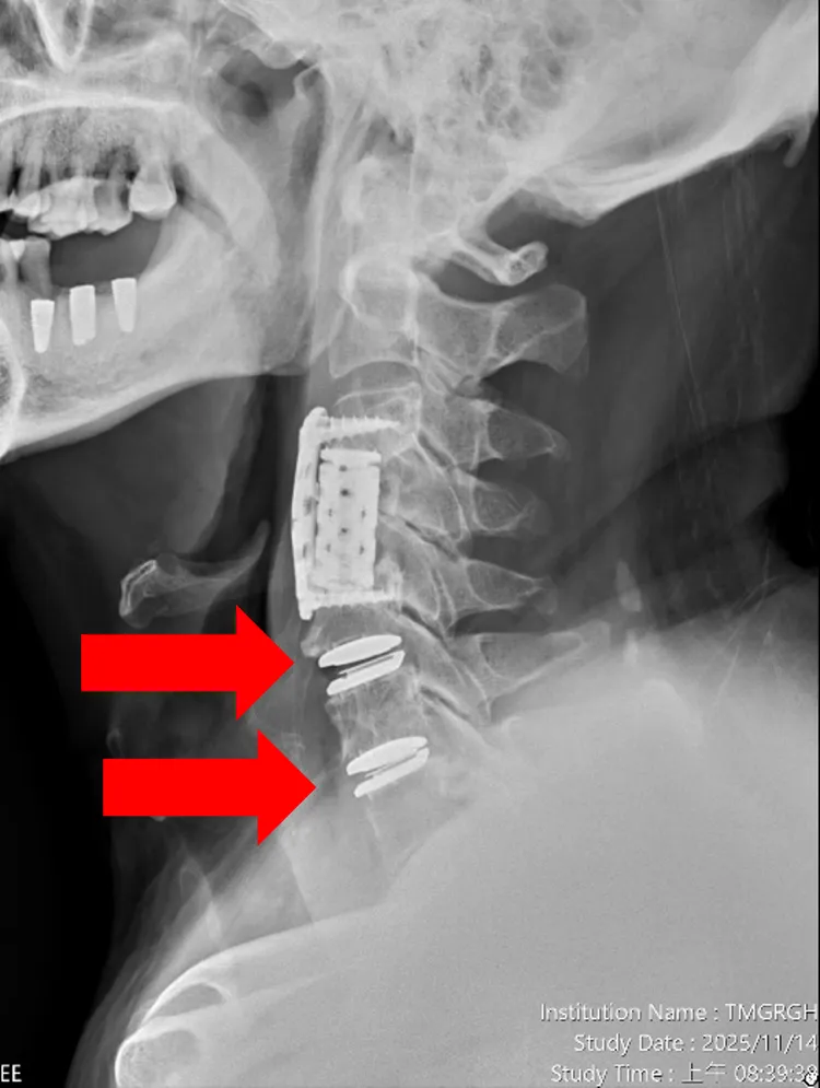
患者的第五第六及第六第七頸椎間盤切除,並植入人工椎間盤,症狀大幅改善。院方提供
患者的第五第六及第六第七頸椎間盤切除,並植入人工椎間盤,症狀大幅改善。院方提供
作者簡介

鮮明

曾先後任職3家平面媒體,跑過許多大大小小的社會新聞,擅長處理讀者投訴、爆料案件,挖掘網路熱門議題,樂於踢爆社會的不公不義。


點擊閱讀下一則新聞 點擊閱讀下一則新聞
温嵐敗血性休克一度進ICU 醫揭「致命敗血症」恐器官衰竭