彰化醫院小兒科主任馬瑞杉表示,先天性肺部呼吸道畸形(CPAM)是指肺部發育異常,肺葉被類似囊泡的組織取代,未來也不可能發育為正常的肺組織,也就是說,不正常的囊泡及囊腫影響氣體交換,也沒有排痰功能,可能會出現喘、呼吸困難或反覆感染等情況,甚至可能壓迫其他正常組織,通常在產前檢查或新生兒就被發現,發生率大約是每30000名新生兒會出現一名。

熱門新聞:台中新光三越瓦城驚見「料理鼠王」 老鼠躲牆角進食!顧客驚呼太扯

躺在病床上的黃女說,她日前騎腳踏車自摔,左胸及四肢疼痛才就醫,本想不用住院,沒想到自己竟有先天性疾病。

馬瑞杉指出,急診發現黃女的肺葉不正常之後,馬上會診胸腔內科及小兒科,排除肺結核、細菌感染的可能後,確定是先天性肺部呼吸道畸形,先住院診治左胸挫傷及四肢擦挫傷,待車禍傷勢好轉後,再進行肺功能呼吸檢測,評估是否手術。

馬瑞杉說,在早年超音波不夠發達的年代,確實有些病人到青少年或成年出現症狀才被診斷出來,但現在醫學設備發達,大部分病人在產前超音波篩檢時就能發現,也因此可以特別叮嚀媽媽要注意,等新生兒出生後再評估病情,通常在小兒階段進行手術,將不正常的肺葉摘除,畢竟肺葉囊泡及囊腫不只影響到呼吸,也容易引起反覆感染,進而發生較嚴重的肺部感染或肺炎,囊腫也可能變大而壓迫正常肺葉。

他表示,黃女的個案甚為特殊,不只在產前檢查及新生兒階段沒被發現,也不是因為出現呼吸困難等症狀才被診斷出來,而是因車禍被意外診斷出來,也因為黃女從沒做過胸部X光及電腦斷層檢查,以致此先天疾病被隱藏了16年,所幸黃女沒發生病狀及嚴重感染。 

馬瑞杉強調,先天性肺部呼吸道畸形被認為是偶發的非遺傳性疾病,罹病機轉仍未知,在臨床上有其危險性。孕婦應接受完整產檢,新生兒也要注意呼吸狀況,以期早期發現先天異常並進行手術矯正。

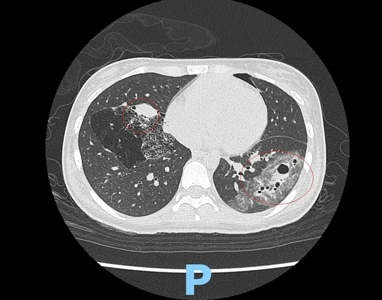
電腦斷層發現黃姓少女左右2肺都有大囊泡、囊腫。彰化醫院提供
電腦斷層發現黃姓少女左右2肺都有大囊泡、囊腫。彰化醫院提供
作者簡介

鮮明

曾先後任職3家平面媒體,跑過許多大大小小的社會新聞,擅長處理讀者投訴、爆料案件,挖掘網路熱門議題,樂於踢爆社會的不公不義。


點擊閱讀下一則新聞 點擊閱讀下一則新聞
壹蘋10點強打|愛爾麗總裁帶路 夢幻總部開箱!台南綠建築降溫3°C美如畫廊