義大醫院 2022年初接獲病患表示自己屁股裡有異物取不出來,導致無法排尿,且卡到膀胱出口,膀胱也腫的跟橄欖一樣大,痛苦難堪。醫院嘗試插管導尿及機械協助排尿,甚至徒手伸進男子肛門也無法將椰子取出!醫院考量再拖下去男子膀胱會爆炸,直腸也可能因壓迫壞死,最終決定剖腹開腸才成功將椰子取出,但男子一直到痊癒出院前都不願說明椰子是如何塞進去的。

熱門新聞:騷擾女書記官尬聊「事業線」!男法官遭免職又被控接受性招待 結果出爐

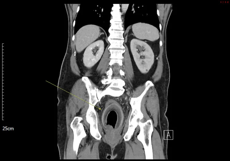
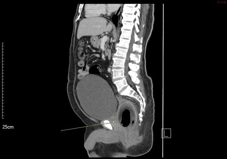
男子直腸塞進一棵小椰子,造成大小便困難。義大提供
男子直腸塞進一棵小椰子,造成大小便困難。義大提供

義大醫院表示,這名 56 歲男性患者,主訴腹痛 2 天,伴有無尿和嚴重便秘,但無其他症狀,如發燒、噁心或嘔吐。

院方體格檢查患者生命體徵穩定。腹部檢查發現,腹部膨脹、壓痛,有反彈痛。影像學檢查腹部電腦斷層掃描 (CT) 顯示,直腸內有一個巨大的異物,壓迫前列腺尿道,導致尿滯留。治療患者接受了探查性剖腹手術,從直腸中取出一個「椰子」,實際大小為7.5X5.7X5.5 公分。大腸直腸外科主治醫師陳致一寫成報告,向國際醫學期刊投稿,2023年1月刊登在英國外科雜誌 110 卷第一期,頁碼 123。

男子直腸塞進一棵小椰子,造成大小便困難。義大提供
男子直腸塞進一棵小椰子,造成大小便困難。義大提供

植物專家楊吉壽看了照片,這個 「椰子」是棕櫚科植物果實,可能是某種袖珍椰子的初果,才會有這種比拳頭稍小的尺寸。

作者簡介

凃建豐

喜歡聽故事,聽說了,就想分享給更多人,讓大家有一起前進的勇氣。一直待在平面媒體,見證紙媒興衰,直到進入網路時代,發現日新月異的豈止是新聞,連媒體本身也是。


點擊閱讀下一則新聞 點擊閱讀下一則新聞
燒臘便當熱量爆表 營養師揭「點餐4招」輕鬆少吃200大卡