二尖瓣位於左心房與左心室間,又稱僧帽瓣,可以控制血液流向。左心室是心臟輸出血液最重要的構造,收縮時二尖瓣會關閉,讓左心室將血液輸注至人體的大血管,供應全身組織,而逆流指的是左心室收縮時,二尖瓣無法完全緊閉,部分血液會倒流回左心房。
心臟血管外科醫師羅崇祐說明,血液可以養活所有器官,但二尖瓣逆流會導致心輸出量大幅下降,進而造成嚴重的心因性休克和多重器官衰竭,倒退的血液會囤積在肺部造成嚴重肺水腫,危及生命。
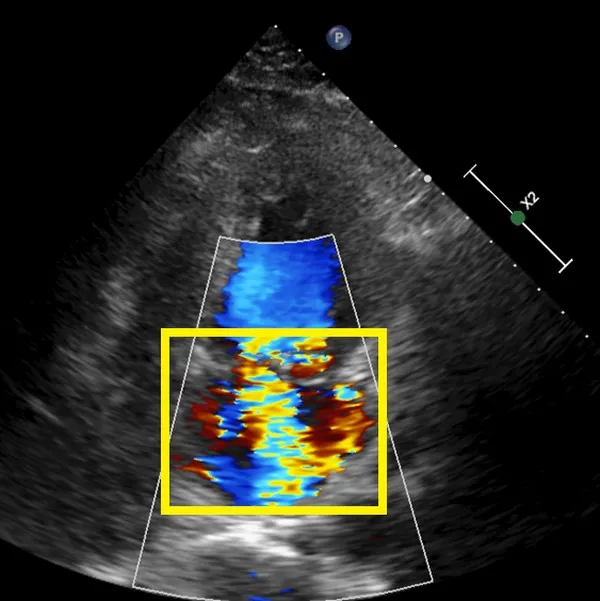
台北慈濟心血管醫學中心主任張燕表示,若只是單純二尖瓣逆流,有機會靠微創手術治療,但蔡先生的二尖瓣不但逆流,還有一個1公分左右的大破損,周圍更出現許多細菌感染增生的贅生物,使得抗生素藥物治療效果有限。
考量病人的情況若使用微創術式相當耗時,且有生命危險,醫療團隊決定以傳統手術治療,鋸開胸骨後,找到二尖瓣後予以切除並清除周圍的贅生物,最後植入新的人工瓣膜並縫合左心房。術後兩天,病人肺水腫大幅改善,持續以抗生素治療六周後,蔡先生康復出院。
國外研究指出,感染性心內膜炎發生率大約每10萬人中有3到10人會發生,且其中20%是由口腔內的草綠色鍊球菌造成,蔡先生感染的血鏈球菌亦是其中一種。
羅崇祐提醒,血液中的任何細菌都有感染心臟的風險,雖然人體免疫系統會在感染之初嘗試殺菌,但若病菌數量過多,出現增生的贅生物就難以根治。因此,務必維持口腔健康,如有潰瘍、發炎要就醫治療,心臟疾患或手術前後若要執行口腔治療也要告知醫師,評估是否需服用預防性抗生素,以免病菌在治療過程中侵入血液,造成感染。

爆料信箱:news@nextapple.com
★加入《壹蘋》Line,和我們做好友!
★下載《壹蘋新聞網》APP
★Facebook 按讚追蹤
點擊閱讀下一則新聞
防非洲豬瘟 機場入境恐「不再分紅、綠通道」!擴大X光掃行李