臉書「臭寶爸 - 兒科陳敬倫醫師」今分享,診間裡,常有家長對孩子說,醫生用超音波看你剛剛吃了什麼,他解釋,「其實超音波沒這麼神啦,大部分的食物經過咀嚼、加上消化液和空氣後,根本無法區分是什麼食物,小孩誤食異物、零件、小玩具也都沒辦法用超音波來檢查」。
推薦新聞:才表態不參加選舉!管中閔因運將一句話 自曝想做這一行了
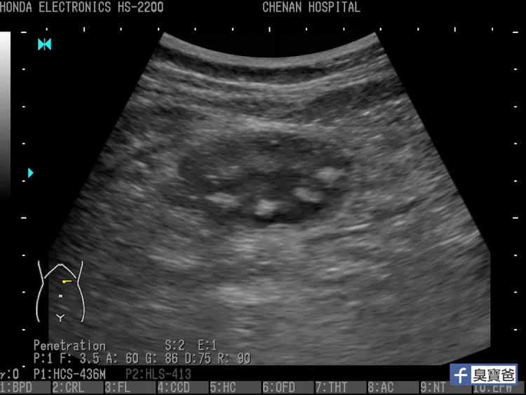
但是,「只有一個例外,珍珠奶茶的珍珠」陳敬倫說,「不容易消化,如果孩子吃了太多珍珠,就會在胃裡看到一顆一顆的珍珠,像是蓮蓬的影像」。近來可能因天氣熱,喝太多珍奶肚子痛的小孩也變多了,陳敬倫提醒,「對兒童來說,珍珠本來就不易消化,珍珠奶茶也含咖啡因,不適合孩子過度飲用喔!」
推薦新聞:蔡阿嗄爭議延燒!日語老師搶救台日友好 黃捷大推日本這家平價串燒

爆料信箱:news@nextapple.com
★加入《壹蘋》Line,和我們做好友!
★下載《壹蘋新聞網》APP
★Facebook 按讚追蹤
點擊閱讀下一則新聞
女議員踩到坑「整隻腳都陷下去」 實測柏油坑洞:台北市路平加油好嗎?