亞洲大學附屬醫院胸腔外科主治醫師劉柏毅表示,食道癌最常見可分為兩大類,分別是鱗狀上皮癌及腺癌,症狀相同,最主要就是吞嚥困難,但患者常常無法立即察覺病症,多半會先改變飲食習慣,例如避免食用較堅硬的食物,選擇較軟或是流質食物如麵包、稀飯等,等到僅能進食流體食物,甚至連牛奶都喝不下去,才發現已是癌症晚期。

劉柏毅說,以該名患者為例,從開始發現吃東西有卡住感覺,到就醫確診食道癌第三期,時間短短不到6個月,所幸癌細胞僅局部侵犯嚴重,尚未全身轉移,因此建議先同步接受放療及化療,並安排內視鏡食道切除併重建手術,但若病情已發展至全身轉移,則必須考慮放射線治療、化學治療、免疫治療或細胞治療等多管齊下,並進行腸胃造瘻手術提供腸胃道營養,以符合生理需求。

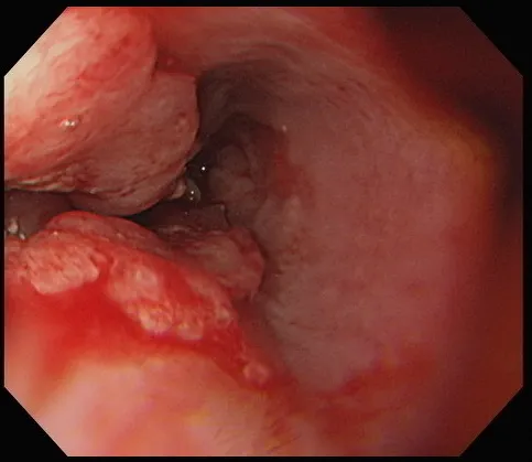
47歲司機等到自己「吞口水也會痛」才就醫,發現食道中段已冒出長達7公分腫瘤。亞大附醫提供
47歲司機等到自己「吞口水也會痛」才就醫,發現食道中段已冒出長達7公分腫瘤。亞大附醫提供

劉柏毅也提醒,依國內外醫院報告,食道癌患者手術後到出院前之死亡率約5-10%之間,術後併發症機率約30-50%,手術後一般5年存活率更僅約為20-30%,若能早期發現食道癌的警訊提早就醫,可望將5年生存率提高至50%,治療痊癒機率也較大;若不接受治療,會造成吞嚥困難、出血或是食道破裂,並轉移及侵犯鄰近器官造成呼吸道狹窄、咳血、氣管瘻管、動脈瘻管疼痛及極度虛弱等。

劉柏毅奉勸本身是抽菸、喝酒、吃檳榔等不良習慣的民眾,萬一察覺有吞嚥困難、不時有嘔吐感、喉嚨卡卡、常久咳清痰或體重莫名變瘦等症狀,都要盡快就醫安排上消化道內視鏡(胃鏡)評估及切片,才能有機會早期發現挽回健康人生。

作者簡介

鮮明

曾先後任職3家平面媒體,跑過許多大大小小的社會新聞,擅長處理讀者投訴、爆料案件,挖掘網路熱門議題,樂於踢爆社會的不公不義。


點擊閱讀下一則新聞 點擊閱讀下一則新聞
砂石車司機看片自學變改槍師傅 新北警跨區桃園搗破兵工廠