中國附醫院胸腔科、睡眠中心主任杭良文表示,臨床觀察打鼾症狀者,約有一半以上患有睡眠呼吸中止症,常見症狀日間有嗜睡、精神不濟、注意力不集中、容易疲倦、記憶力減退、早晨頭痛、脾氣暴躁、口乾、憂鬱等,夜間則有打鼾、睡眠中呼吸中斷、嗆醒、睡眠中斷、失眠等。

熱門新聞:獨家|顏清標昨告假醫院親赴媽祖起駕宴 已抱病一周!竟是染上這病

杭良文分析,「阻塞型睡眠呼吸中止症」會造成間歇性缺氧,導致性全身發炎體質,加速老化,增加心血管疾病,若不盡早治療,將可能造成更多共病危機,甚至死亡風險。而治療方面,患者於夜間在家中使用「單相陽壓呼吸器」改善缺氧、呼吸中止症狀,進而減緩老化、失能速度及減少心血管疾病。

「AI上呼吸道檢測儀」以超音波掃描,並運用AI分析病兆位置。中國附醫提供
「AI上呼吸道檢測儀」以超音波掃描,並運用AI分析病兆位置。中國附醫提供

杭良文指出,一般診斷睡眠呼吸中止症的方法,除了簡易型居家睡眠檢測外,最常使用常規標準工具為「睡眠多項生理檢查(Polysomnography / PSG )」,即透過腦波圖、眼動圖、肌電圖、心電圖、血氧飽和度、脈搏、口鼻呼吸氣流、胸腹呼吸動作等,光檢測往往得花上一整晚時間。

而檢測確診後,若需進一步觀察上呼吸道組織塌陷型態及位置,則需要進入上呼吸道執行「藥物誘導睡眠內視鏡」,以提供更有效率之治療規劃,然而藥物誘導睡眠內視鏡,需要進行麻醉,並進行約1小時侵入性檢查,執行過程亦具有相當風險。

中國附醫睡眠醫學中心主任杭良文分析,「阻塞型睡眠呼吸中止症」會造成間歇性缺氧,導致性全身發炎體質,加速老化,增加罹患心血管疾病或帕金森氏症的風險,若不盡早治療,甚至導致死亡。中國附醫提供
中國附醫睡眠醫學中心主任杭良文分析,「阻塞型睡眠呼吸中止症」會造成間歇性缺氧,導致性全身發炎體質,加速老化,增加罹患心血管疾病或帕金森氏症的風險,若不盡早治療,甚至導致死亡。中國附醫提供

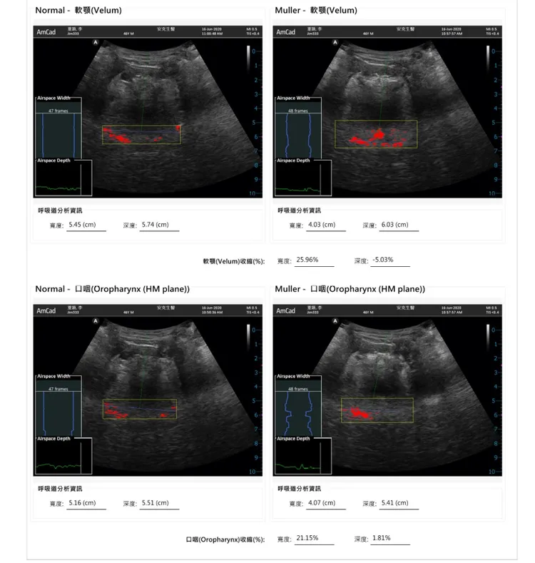
為了免除民眾對於侵入式檢查呼吸道組織的擔憂,以及省去睡眠多項生理檢查,杭良文帶領專家團隊,研發「AI上呼吸道檢測儀」,以超音波掃描上呼吸道內組織,檢查軟顎、口咽、舌底、會厭軟骨,在正常呼吸和深吸氣憋住之後的型態與位置變化,以AI大數據輔助分析,預測上呼吸道組織是否塌陷,準確率高達89%,避開麻醉風險。

杭良文強調,「AI上呼吸道檢測儀」結合AI智慧醫療,快速診斷阻塞型睡眠呼吸中止症,上呼吸道的相關檢查,無侵入性、無輻射風險,只需10到15分鐘即可得知上呼吸道變化,若能早期診斷早期治療,可大幅降低心血管疾病及醫療費用。


點擊閱讀下一則新聞 點擊閱讀下一則新聞
維生素D3、百靈油半價賣!2年狂銷5萬瓶 這家公司卻這原因GG了