李政錡(29歲)在一個月前下班騎車回家途中,遭車子攔腰撞上當場噴飛陷入昏迷,緊急送往部立彰化醫院搶救,經外科及骨科醫師聯手接力手術,止住破裂脾臟及左肺出血,並固定左大腿骨的粉碎性骨折,保住一命,不料李政錡術後甦醒,發現不論正常呼吸或是咳嗽時,因牽動到斷裂的左胸肋骨,讓他疼痛到難以言喻,連最強的嗎啡都止不了痛。
熱門新聞:明仁會春酒後又見「酒店美腿林」 警硬起來!竹聯幫仁堂圍事處所慘了
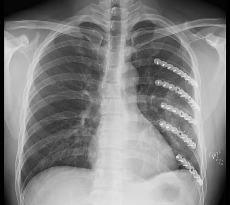
部立彰化醫院胸腔外科主任林聿騰表示,肋骨斷裂會自行慢慢癒合,但對於斷了3根以上及錯位嚴重、胸壁穩定性受影響病患,癒合恐需長達半年且可能癒合不良,也可能發生氣胸、血胸等情況,若採傳統開胸手術,又不利肌肉組織復原,恐影響健身教練的職業生涯。
林聿騰指出,為減少病患的身體負擔,採用最新設備,配合3D胸廓重組影像精準定位,用最小傷口的微創手術進行復位,再以肋骨專用的鈦合金板固定,將傷口縮小到只有9公分,術後狀況良好。
李政錡指出,原本左胸肋骨讓他呼吸、睡覺、翻身都很痛,只能以痛不欲生形容,但動完微創手術後,不到2天時間,胸部的疼痛感就消失大半,可以開始大口呼吸,感受到新鮮空氣,重拾對人生的希望。
李政錡表示,以前他的體脂肪率只有12%,深蹲可背負170公斤重物,現在身形明顯消風、肌肉鬆垮,為了再回到熱愛的健身場域,回復健美的身形,即使左大腿骨折還未痊癒,必須坐著輪椅,仍在治療師的指導下,開始進行物理及職能復健,再度對人生燃起希望和熱情。

爆料信箱:news@nextapple.com
★加入《壹蘋》Line,和我們做好友!
★下載《壹蘋新聞網》APP
★Facebook 按讚追蹤
點擊閱讀下一則新聞
經典賽|警力佈署滴水不漏 開幕典禮特勤隊還不夠!裝甲車進駐首曝光