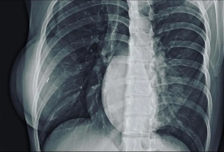
有網友在臉書爆廢公社PO出一張女性X光照,影像中左、右兩側各有兩顆灰白的球狀物,並加註「看到某女生勇於承認!」「要知道自己的女神/女友是否真假,帶她去做胸部X光檢查,圓球白影是代表她是假的,真奶不會出現球狀物體。」

照片引發網友討論,有網友說,「真的假的,用抓的不就知道,假的很硬」,「躺平也可以,假奶不會扁下去」,「不用那麼麻煩,用手電筒靠近一照,假的會透光」,「手電筒真的很好用。」

賴雅薇醫師以乳房模型試範,指其右手位置若持手電筒往下照光,是有可能看到隆乳女性胸前的果凍矽膠隆乳物。吳慧芬攝
賴雅薇醫師以乳房模型試範,指其右手位置若持手電筒往下照光,是有可能看到隆乳女性胸前的果凍矽膠隆乳物。吳慧芬攝
賴雅薇醫師以乳房模型試範,指其右手位置若持手電筒往下照光,是有可能看到隆乳女性胸前的果凍矽膠隆乳物。吳慧芬攝
賴雅薇醫師以乳房模型試範,指其右手位置若持手電筒往下照光,是有可能看到隆乳女性胸前的果凍矽膠隆乳物。吳慧芬攝

高雄市立大同醫院整形外科主任賴雅薇看了這張X光照後指,這名女性確實是有做過隆乳術,植入的應是果凍矽膠。

對手電筒是否能分辨真假奶?賴雅薇說,「是有可能的。」她指,若隆乳女性本身比較瘦、皮膚比較薄,果凍矽膠是放置在肌肉上緣,只要拿手電筒從胸部側邊從上往下照,即可能看到「有明顯邊緣感與透亮的果凍矽膠。」

賴雅薇醫師以乳房模型試範,指若隆乳女性本身乳腺與脂肪是厚的,放置果凍位置又在肌肉下面,在這邊照手電筒就不易被發現。吳慧芬攝
賴雅薇醫師以乳房模型試範,指若隆乳女性本身乳腺與脂肪是厚的,放置果凍位置又在肌肉下面,在這邊照手電筒就不易被發現。吳慧芬攝

但假設隆乳女性本身乳腺與脂肪是厚的,放置果凍位置又在肌肉下面,在這邊照手電筒就不易被發現。

至於網友說,用摸的來分辨真假奶,假的會很硬,賴雅薇指,其實現在果凍隆乳物非常先進,摸起來觸感很真實,「真奶、假奶,其實好看、健康都好。」

另有網友說,假奶躺平就扁了,賴雅薇指,現在果凍矽膠植體選擇非常多,如果是選擇比較挺的植體,躺下時胸部確實會比較挺。

有網友貼出一名隆乳女性X光照,指「真奶不會出現球狀物體」。翻攝臉書爆廢公社
有網友貼出一名隆乳女性X光照,指「真奶不會出現球狀物體」。翻攝臉書爆廢公社
大同醫院整形外主任賴雅薇指,現隆乳材質與技術進步,真假奶觸感差距不大。吳慧芬攝
大同醫院整形外主任賴雅薇指,現隆乳材質與技術進步,真假奶觸感差距不大。吳慧芬攝

點擊閱讀下一則新聞 點擊閱讀下一則新聞
真心或假意?女與男友大吵報警怕他想不開 警上門查獲滿屋毒品