患者為68歲的劉先生,當時他就診時,醫生察覺到劉先生有黃疸、尿液顏色變深等問題,懷疑是肝臟出問題,經核磁共振檢查發現肝內膽管、膽管及膽囊,都有密密麻麻的結石,阻塞膽汁的運行,其中肝結石位於肝臟的左側位置,情況較為棘手。

因此,醫師先執行內視鏡膽管攝影(ERCP),取出膽管內的結石,並放置支架撐開膽管,讓膽汁能通暢流通,接著,再由外科醫師接手,採取3D腹腔鏡將肝臟及膽囊部分切除。而肝臟左側的部位被切除約35%。一次到位清理,避免演病變成癌症,醫師也將切除部位切片檢查,所幸是良性。

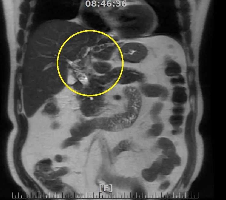
經核磁共振檢查影像,黃圈處可看出左肝、膽管及膽囊有結石。南投醫院提供
經核磁共振檢查影像,黃圈處可看出左肝、膽管及膽囊有結石。南投醫院提供

過去民眾可能較常聽到腎結石、膽結石,反而鮮少聽到肝也會結石,其實肝結石指的是肝內膽管結石;肝膽腸胃科醫師黃耀光解釋,像是河川的概念,細小的膽管群分布在肝臟中,運送膽汁至較大的膽管,再匯集至膽囊。而結石就像淤積的砂石,恐導致膽汁流速減緩或阻塞。

肝結石的成因較複雜,當膽管狹窄、腫瘤、感染等,或與個人體質及飲食習慣、常吃高油脂的食物者,皆可能導致結石發生。症狀則可能會出現發燒、上腹痛,嚴重時疼痛會延伸至上背部,噁心、嘔吐、黃疸等。

醫院呼籲,民眾一定要注重飲食健康,少吃高油脂的食物,避免造成身體負擔,而若出現類似上述症狀,一定要趕緊就醫檢查,讓專業醫生評估,避免錯過黃金的治療時間。

★快點加入《壹蘋》Line,和我們做好友!

★下載《壹蘋新聞網》APP

★FB按讚追蹤《壹蘋新聞網》各大臉書粉絲團,即時新聞到你手,不漏任何重要新聞!

壹蘋娛樂粉專

壹蘋新聞網粉專