台北市立動物園的人氣明星大貓熊團團,自8月中下旬出現癲癇等症狀後,10月中又開始出現後肢無力、食慾不佳等狀況,現每天的竹葉進食量、排便量、活動力都持續下降,後肢步行狀態不復以往。

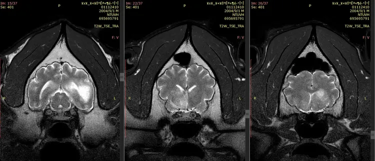
動物園今公布團團第2次MRI(磁振造影)檢查,影像中顯示團團腦部病變除既有病灶區域明顯擴大,且還出現腫塊效應,現在影響到神經元,惡性腫瘤機率大幅提高但未能進行侵入性切片檢查,故無法百分之百確認。

而這次檢查團團對麻醉反應、甦醒恢復時間皆延長,動物園也坦言「病程進展快速」,未來也不再進行麻醉或侵入性檢查,將以維護動物福祉為優先,採舒緩照護方式照顧。

團團再麻醉恐耐不過 獸醫:採舒緩治療
團團第2次MRI(磁振造影)檢查結果出爐。動物園提供
團團第2次MRI(磁振造影)檢查結果出爐。動物園提供

獸醫室主任賴燕雪提到,現在團團有後肢無力、對影像反應慢,顯示病灶已影響核心神經元,所以才有相關臨床症狀出現,目前治療方法就是針對臨床症狀、日常採食不足部分進行舒緩治療。

媒體追問團團病況是否回天乏術?現在的狀態還能維持多久?賴燕雪表示,團團第2次照MRI時,麻醉後甦醒較慢,「再一次麻醉可能耐不過」,這也是園方不再積極或以侵入性方式處理原因。

團團到底還能撐多久園方未有明確回應,不過接下來將不會有進一步治療,賴燕雪指出,目前評估對團團最好的治療方式就是以動物福祉為前提,而舒緩治療也是最有利的。

賴燕雪也證實舒緩治療與人類安寧治療類似,針對動物不舒服、疼痛的地方進行緩解,「讓團團舒舒服服過每一天」。

 

動物園將給予團團舒緩治療,陸方也認同。動物園提供
動物園將給予團團舒緩治療,陸方也認同。動物園提供

陸方認同舒緩治療 活下來的貓熊無先例

團團病情發展至今,動物園到底是否會邀請大陸貓熊專家來台?動物組組長王怡敏回應,其實第一時間都有和陸方聯繫,雙方也建立群組溝通順暢,接下來一樣不排除跟陸方持續討論。

至於陸方給出怎樣的建議? 獸醫師鄭秋虹補充,自團團一開始癲癇發作後,都持續有跟臥龍保持聯繫,包括9/18的MRI影像,以及其他腦脊隨液數值都有交流。

不過鄭秋虹也說,團團10/22最新狀況已超過大陸曾有過的案例,過去大陸存活下來的貓熊也未發生過與團團類似病例,而現在園方決定給予團團舒緩治療,陸方應也認同。

 

動物園會特別幫團團多留一點愛吃的食物,以增加進食量。動物園提供
動物園會特別幫團團多留一點愛吃的食物,以增加進食量。動物園提供

現場媒體追問,若未來團團仙逝,遺體將如何歸屬?會送回四川或留在台灣?動物園發言人余珍芳坦言「目前沒有要送回去」,這是大費周章也無必要,現團團歸屬台灣未來應也會留在台灣。

至於民眾未來還有沒有機會看見團團?王怡敏指出,團團10/16後肢無力後,考量展場環境複雜,對於團團負擔較重所以暫時不會讓牠去展場。

 

 

★快點加入《壹蘋》Line,和我們做好友!

★FB按讚追蹤《壹蘋新聞網》各大臉書粉絲團,即時新聞到你手,不漏任何重要新聞!

壹蘋娛樂粉專

壹蘋新聞網粉專


點擊閱讀下一則新聞 點擊閱讀下一則新聞
謝謝「玉葉」相伴26年 北市動物園僅存單峰駱駝去世