楊筱惠表示,在小兒膽結石個案中,約有3成患者是找不到病因,且陳小弟的飲食、體質與病史都在正常範圍內,年齡也不在疾病好發群體裡,更是難以明確病因。因膽結石疼痛反覆發作、且併發膽囊炎,在和陳小弟的家長說明後,外科團隊進行「腹腔鏡膽囊切除術」將膽囊摘除,手術過程十分順利,術後陳小弟情況恢復良好,在醫院休養3日後就出院了。
熱門新聞:初四了!無辜騎士撞飛突然加速的他 萬華阿北12小時後去天國
 
                                                        
                                                    據統計,平均每1000名孩童中,僅有1名會發生小兒膽結石。慈濟醫院小兒腎臟科主任陳明群表示,小兒膽結石的病人中約有5成會感到上腹疼痛,產生包括急性膽囊炎或膽管炎等併發症,發於新生兒時期及10歲以上兒童、青少年;新生兒時期原因與先天體質有關,包含有溶血性疾病、長期施打全靜脈營養或曾接受過小腸切除的嬰兒。
而青少年膽結石原因則以溶血性疾病、肥胖、懷孕為主。今年三月,陳小弟就曾因腹痛就醫,根據孩子腹痛部位的不同,臨床診斷上醫師可能會往腸炎、便秘、急性闌尾炎、泌尿道感染等等方向逐步排查原因,但陳明群在光片上看見膽囊位置有不尋常的陰影,於是將他轉介到兒童腸胃科主任張雲傑的門診,做更進一步的專科檢查。
 
                                                        
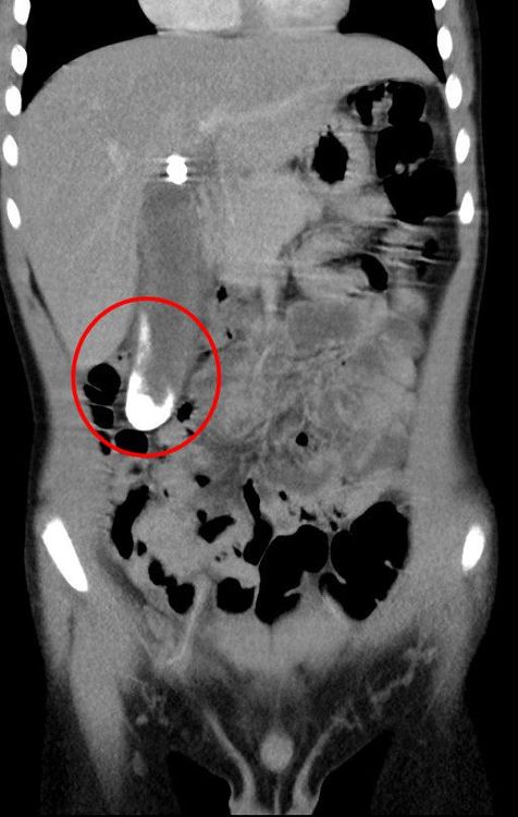
                                                    透過超音波與電腦斷層確認,陳小弟的膽囊中有一些細小的結石,考慮孩子並無家族病史,也無常見形成小兒膽結石的危險因子,醫師與家屬討論過後,先使用藥物控制,以內科療法治療,讓結石不要持續增大;直到後續陳小弟再次就醫,發現結石情況並無好轉,甚至已逐漸連成一大片,卡在膽囊管進總膽管處,造成慢性發炎。由於內科治療無法使病況緩解,最後決定開刀。
兒童切除膽囊後的症狀與成人相同,因切除膽囊、膽汁缺少了暫時儲存的空間,進而影響消化,可能會較常出現腹瀉、脹氣、反胃等狀況,醫師建議家長應特別注意孩子的飲食,手術後的患者需避開高油脂的食物,給予消化系統適應的時間,避免消化不良引起的腸胃道不適。
「壹天壹蘋果」2.0版由最專業記者為你遍訪名醫,為你的健康把關。常看「壹天壹蘋果」,常保健康不老。
 
                                                        
                                                    按讚、追蹤《壹蘋新聞網》各大臉書粉絲團,即時新聞到你手,不漏接任何重要新聞!
★快點加入《壹蘋》Line,和我們做好友!★
 點擊閱讀下一則新聞
                                        點擊閱讀下一則新聞
                                        
 
                                 
                                            
                                            
                                         
                                     
                                     
                                     
                                     
                                    



