由於初期攝護腺癌與攝護腺腫大症狀幾乎相同,差點騙過經驗老到的醫師,讓該醫師患者也不得不提醒大家「別以為頻尿只是攝護腺腫大,也可能是會致命的攝護腺癌,還是要就醫檢查,避免延誤治療!」

收治該個案的中港澄清醫院放射腫瘤科醫師梁家郡指出,這位開診所的老醫師,因醫術超好又服務親切,每天求診民眾都大排長龍,但因近年發現出現頻尿、排尿解不乾淨的症狀,自己認為是因年紀大攝護腺肥大造成,兩年前到該院接受攝護腺刮除手術。

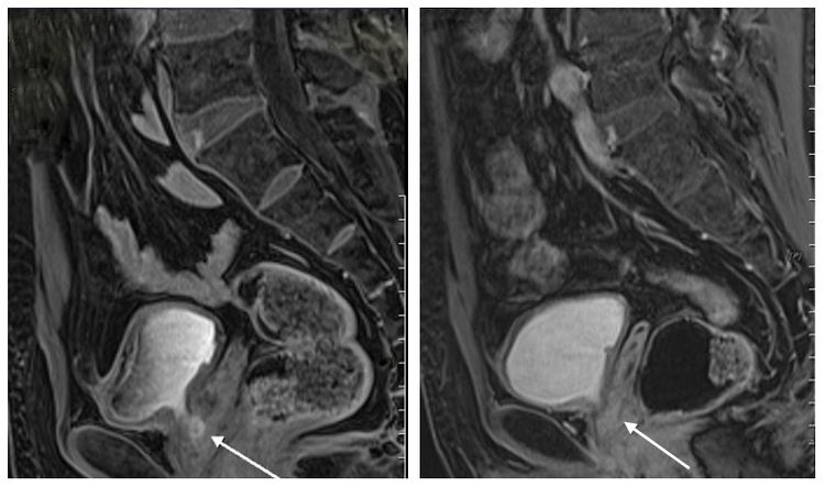
老醫師因頻尿、解不乾淨發現攝護腺癌(左),經過37次光子刀放射線治療讓腫瘤消失 (右)。中港澄清醫院提供
老醫師因頻尿、解不乾淨發現攝護腺癌(左),經過37次光子刀放射線治療讓腫瘤消失 (右)。中港澄清醫院提供

但醫院將其刮除的組織送驗結果,卻發現有少量的癌細胞存在,進一步進行核磁共振檢查,果然發現一顆約0.5公分的攝護腺癌,診斷為第一期攝護腺癌,但因腫瘤指數為3.5,在正常的範圍內,暫時先觀察追蹤。

沒想到追蹤一年半後,老醫師今年中再次回診檢查,腫瘤指數已經升到7.1,超過正常指數4,核磁共振發現攝護腺癌已從原本的0.5公分長大約0.9公分,經與醫師討論,決定採用不開刀的光子刀放射線治療,歷經每天1次、共計37次光子刀放射線治療後,腫瘤指數也掉到0.76,攝護腺癌也已完全消失。

梁家郡醫師說,根據衛生福利部2021年統計資料,攝護腺癌居國人十大癌症死亡率中第五名,好發於60歲以上的年長者,隨著年齡增加發生率越高,統計台灣每年新增約4千名攝護腺癌患者,該嚴正已成為國內男性常見的癌症之一。

值得注意的是,由於攝護腺癌的初期症狀與攝護腺肥大症狀很類似,包括夜尿、頻尿、解尿不乾淨、用力解尿等,在台灣臨床上發現有約30%的攝護腺癌患者確診時已經是癌症末期,提醒民眾只要出現上述初期症狀應該盡速就醫檢查並接受手術或放射線治療,千萬不要以為只是攝護腺肥大而輕忽,延誤治療的黃金時機。

「壹天壹蘋果」2.0版由最專業記者為你遍訪名醫,為你的健康把關。常看「壹天壹蘋果」,常保健康不老。

★快點加入《壹蘋》Line,和我們做好友!★

按讚追蹤《壹蘋新聞網》各大臉書粉絲團,即時新聞不漏接!!!

壹蘋即時報報 粉絲團

壹蘋娛樂 粉絲團

壹蘋時尚 粉絲團


點擊閱讀下一則新聞 點擊閱讀下一則新聞
苗栗頭份套房大樓起火 6人獲救3嗆傷送醫